矯正歯科治療の反対咬合(受け口)の対応症例
文字の大きさ:
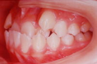
反対咬合(受け口) +八重歯 14歳男子:ブラケット装置(小臼歯抜歯)
治療前
治療中
治療後
反対咬合(受け口)
7歳女子:上顎プレート、チンキャップ(非抜歯)
9歳女子:上顎前方牽引装置(非抜歯)
12歳男子:ブラケット装置(非抜歯)
12歳女子:ブラケット装置(小臼歯抜歯)
14歳男子:ブラケット装置(小臼歯抜歯)
+八重歯 14歳男子:ブラケット装置(小臼歯抜歯)
35歳女子:ブラケット装置
上顎前突(出っ歯)
8歳女子:顎機能装置(ファンクショナルアプライアンス)非抜歯
8歳男子:顎機能装置(ファンクショナルアプライアンス)非抜歯
12歳女子:ブラケット装置 上顎小臼歯抜歯
成人女子27歳:ブラケット装置 上顎第2大臼歯抜歯
+叢生 16歳女子:ブラケット装置(小臼歯抜歯)
+叢生+両顎前突 15歳女子:ブラケット装置(小臼歯抜歯)
叢生(そうせい)(デコボコ歯列)
17歳女子:拡大装置~ブラケット装置 非抜歯
7歳女子:連続抜歯後~ブラケット装置:小臼歯抜歯
10歳女子:ブラケット装置、小臼歯抜歯
13歳女子:ブラケット装置:非抜歯
12歳女子:ブラケット装置 小臼歯抜歯
16歳女子:ブラケット装置 小臼歯抜歯
16歳女子:ブラケット装置 小臼歯抜歯
32歳男子:ブラケット装置 非抜歯
35歳女子:ブラケット装置 小臼歯抜歯
12歳女子:治療13年後に舌癖による開咬のため再治療(非抜歯)
開咬
+指しゃぶり 7歳女子:タングガード~ブラケット装置 小臼歯抜歯
+上顎前突(指しゃぶり) 7歳女子:タングガード~ブラケット装置 小臼歯抜歯
+反対咬合 16歳男子:ブラケット装置 非抜歯
+反対咬合+凸凹歯列 17歳女子:ブラケット装置 抜歯
+反対咬合 45歳女子:ブラケット装置
ガミースマイル
16歳女子:ブラケット装置 非抜歯
18歳女子:ブラケット装置 小臼歯抜歯
正中離開(空隙歯列)
8歳男子:ブラケット装置 非抜歯
15歳女子:ブラケット装置 非抜歯
56歳女子:ブラケット装置
埋伏歯
12歳女子(右上中切歯の埋伏):ブラケット装置非抜歯
15歳女子:(右上犬歯の埋伏)+ 下顎第2小臼歯先天性欠如 小臼歯抜歯
メンテナンスと再治療症例
14歳男子:正中離開と両顎前突 ブラケット装置(小臼歯抜歯)
6歳女子:長期にわたる症例
12歳女子:治療13年後に舌癖による開咬のため再治療(非抜歯)
トップページ
>
対応症例
> 反対咬合
トップページ
矯正歯科専門医とは?
痛みと矯正歯科治療
矯正前の虫歯について
虫歯にならない為に
年齢別治療
矯正後のメンテナンス
院長略歴
医院からのメッセージ
対応症例
治療の流れ
治療中のリスクや副作用
よくある質問
料金表
治療中の転医と清算返金
アクセス
お問い合わせ
プライバシーポリシー
サイトマップ
最新の診療状況はこちらから